4 Cara Mengobati Sariawan Saat Mulut Kering Karena Puasa
Upaya mempercepat proses penyembuhan sariawan tersebut, kamu bisa mengonsumsi obat antijamur sesuai dengan resep dokter.
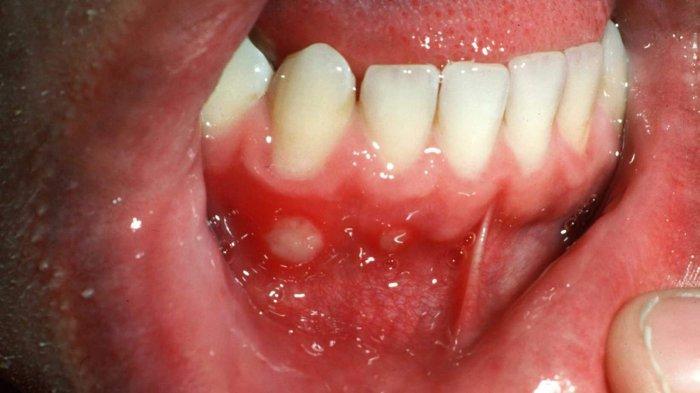
TRIBUNPONTIANAK.CO.ID- Sariawan yang ada di mulut dan gusi bisa disebabkan oleh infeksi jamur Candida Albicans.
Upaya mempercepat proses penyembuhan sariawan tersebut, kamu bisa mengonsumsi obat antijamur sesuai dengan resep dokter.
Ketika kondisi mendesak dan belum menemukan obat sariawan, kamu bisa menggunakan obat sariawan alami.
Ada beberapa obat sariawan alami yang bisa digunakan untuk mengatasi nyeri dan mempercepat penyembuhan sariawan.
Pengobatan sariawan sendiri bergantung pada penyebabnya. Apabila sariawan yang kamu alami disebabkan oleh infeksi, biasanya dokter akan meresepkan antibiotik, antijamur, atau obat untuk meredakan nyeri sariawan.
Kamu bisa mengoleskan salep yang mengandung benzocaine.
Akan tetapi, bila belum sempat memeriksakan diri ke dokter, kamu bisa menggunakan obat alami untuk meredakan sariawan, antara lain:
• Cara Mudah Mengobati Sariawan di Gusi Bibir dan Lidah - Dijamin Cepat Sembuh, Makan Kembali Nikmat
Obat Sariawan Alami Supaya Bebas dari Rasa Perih dan Nyeri
1. Larutan Garam
Berkumur dengan menggunakan larutan garam dinilai efektif untuk meredakan nyeri, mengurangi peradangan, dan juga bisa mempercepat proses penyembuhan jaringan gusi, bibir, ataupun mulut yang terkena sariawan. Kamu bisa mencampurkan 1 sendok teh garam ke dalam setengah cangkir air hangat, kemudian kumur menggunakan larutan tersebut selama 15 hingga 30 detik. Selain menggunakan garam, kamu juga bisa menggunakan baking soda sebagai obat sariawan.
2. Teh Chamomile
Teh chamomile ini mengandung senyawa anti radang dan juga antiseptik, yakni azulene dan juga levomenol, yang mana dipercaya bisa meredakan dan mempercepat proses penyembuhan sariawan. Untuk mengobati sariawan, kamu bisa merendam satu kantong teh chamomile ke dalam air hangat. Lalu, kompres luka sariawan menggunakan kantong teh tersebut selama kurang lebih 5 menit sebanyak 3 hingga 4 kali sehari.
• 8 Golongan Orang Penerima Zakat Fitrah, Diluar itu Wajib Bayar Zakat Fitrah
3. Madu
Selain teh chamomile, madu juga mempunyai sifat anti radang dan juga antibakteri. Sehingga baik untuk digunakan sebagai obat sariawan alami. Kamu bisa mengoleskan madu ke luka sariawan sebanyak 3 sampai 4 kali dalam sehari sampai sariawan sembuh. Jenis madu yang baik untuk mengobati luka sariawan adalah jenis madu murni yang tidak melalui proses pasteurisasi.
4. Sayuran dan Buah-buahan
| Raih Pahala Berlipat, Begini Cara Gabung Puasa Syawal dan Senin-Kamis Serta Puasa Wajib |
|
|---|
| Puasa Ayyamul Bidh Hari Kedua, 1–3 April 2026 Bulan Syawal, Niat Gabung, Sunnah dan Wajib |
|
|---|
| Bolehkah Puasa Syawal Digabung dengan Senin-Kamis? Ini Niat dan Penjelasannya |
|
|---|
| Jadwal Puasa Ayyamul Bidh April 2026, Gabung Puasa Kamis dan Qadha Lengkap Niat dan Keutamaannya |
|
|---|
| 5 Amalan Malam Jumat di Bulan Syawal Paling Dahsyat, Lengkap dengan Doa dan Keistimewaannya |
|
|---|
:quality(30):format(webp):focal(0.5x0.5:0.5x0.5)/pontianak/foto/bank/originals/Sariawan-di-gusi.jpg)